OTTOCLINIC
Лечим ЛОР заболевания
Сокол
Волоколамское шоссе, 6
Пн-Пт: 11:00-19:00
Сб-Вс: 11:00-19:00
Ленинский проспект
ул. Орджоникидзе, 9 корп. 1
Пн-Пт: 11:00-19:00
Сб-Вс: 11:00-15:00

Лечение аденоидов без операций у детей

На сайте представлены фото рентген материалы результатов успешного лечения и отзывы пациентов

Собственный запатентованный метод лечение!

КАК ПРОХОДИТ ЛЕЧЕНИЕ АДЕНОИДОВ

Всего 10 безболезненных процедур и аденоиды с миндалинами в норме!
ПЕРВЫЙ ЭТАП
Устраняем отёчно-воспалительный процесс и стекание проглатываемых слизосто-гнойных выделений из носоглотки — аденоидит.
В нос впрыскивается фитодренажный спрей, который очищает носовую полость от слизи с микроорганизмами. Эвакуируем патологическое содержимое пазух носа и аденоидов.
ВТОРОЙ ЭТАП
Один раз в неделю проводим процедуры для рассасывания аденоидов.
При помощи пистолета (авторская разработка) «простреливаются» гнойные лакуны миндалин. Одновременно смазываем нёбные миндалины и аденоиды антисептическим гелем и вводим в носоглотку тампон с подсушивающим препаратом.
ПРОФИЛАКТИКА
Рекомендуем через полгода посетить лечащего врача с профилактическим визитом.
После проведенного лечения в нашей клинике пациенты болеют реже и менее интенсивно, даже в период эпидемий. Соответственно, вероятность рецидива снижается.
АВТОРСКАЯ РАЗРАБОТКА — «ПИСТОЛЕТ» ДЛЯ ПРОЦЕДУР
медицинский инструмент в других клиниках
Трудно фиксируется → антисептический раствор попадает в глотку и вызывает тошноту и кашель
Лекарство вводится пассивно, струйно и последовательно → лакуны полностью не омываются
Лекарство не достигает до глубины множественных отдаленных ответвлений лакун.
«Пистолет» доктора Сичинавы
Тонкий наконечник вводится в лакуны миндалин легко (не гуляет) → у пациента нет тошноты и кашля
Благодаря регулированию давления и объема антисептического средства препарат достигает до глубин самых отдаленных ответвлений лакун.
Раствор не выливается за пределы миндалин, не вызывая беспокойств у пациента

Как проходит приём

6-летний пациент на приеме у Отто Варламовича Сичинава

Сичинава Отто Варламович принимает 6 летнего ребенка, установлен диагноз аденоиды 3-й степени, хронический тонзилит, ОРВИ, осложненное пансинуситом, анатомическая узость носовых ходов.

СТОИМОСТЬ ЛЕЧЕНИЯ
Прозрачные и адекватные цены: у нас нет и не будет дополнительных опций на приёме. Вы не переплачиваете за процедуры и навязанные дообследования. Лекарства и процедуры входят в стоимость каждого приёма. У главного врача приём — 3 000 рублей, у специалистов — 2 000.
Мы вылечили больше 5 000 детей
Избавили их от хирургического удаления аденоид
ПАМЯТКА РОДИТЕЛЯМ
Все процедуры безболезненны, хотя и не из приятных. Родителям важно подготовить ребёнка психологически к первым процедурам, тогда лечение маленького пациента проходит комфортно для него. Учитывайте, если ребёнок капризничает и не идёт на контакт с врачом, процедуры проходят менее качественно. Даже при неидеальном поведении пациента динамика всегда положительная. Но количество процедур увеличивается.

Результаты

 

До лечения: у четырёхлетнего пациента аденоиды III степени.

После лечения аденоиды полностью рассосались и носовое дыхание восстановлено.

 

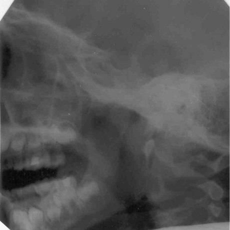
До лечения: на рентгене мы видим гигантские аденоиды, которые спускаются из носа в глотку. Пятилетний пациент не мог дышать носом.

После лечения носовое дыхание восстановлено и аденоиды рассосались.

Рентгенограммы, подтверждающие эффективность лечения, имеются только в нашей клинике и являются собсвтенностью доктора Сичинава.

Нашим лор центрам доверяют

Зураб Соткилава
Оперный певец
«Отто Варламович спас мой голос»
Илья Любимов
Актёр театра и кино
Елена Образцова
Оперная певица
Александр Семчев
Актёр театра и кино
Алёна Апина
Певица
Кирилл Андреев
Певец
Лариса Гузеева
Актриса театра и кино
Елена Бирюкова
Актриса театра и кино
Екатерина Вилкова
Актриса театра и кино

Благодарный отзыв пациентки

Отто Варламович спас меня от операции по удалению аденоидов.

документы и лицензии

График работы

Как к нам проехать, пройти, ориентиры на месте и способы связи — в разделе «Контакты»
М.Сокол
М.Ленинский проспект
Facebook Youtube Вконтакте
medcentr.sokol@gmail.com
Россия, Москва +74991582111 info@ottoclinica.ru
Филиал OTTOCLINIC в Москве на Соколе +74991582111
метро Сокол Волоколамское шоссе, 6 125080 Москва , Россия
Филиал OTTOCLINIC в Москве на Соколе
(Mn. - Fr. - )
(Sa. - Sn. - )
Филиал OTTOCLINIC в Москве на Ленинском проспекте +74996861218
метро Ленинский проспект ул. Орджоникидзе, 9 корп. 1 115419 Москва , Россия
Филиал OTTOCLINIC в Москве на Ленинском проспекте
(Mn. - Fr. - )
(Sa. - Sn. - )
Добраться до клиники М.Сокол
Добраться до М. Ленинский проспект